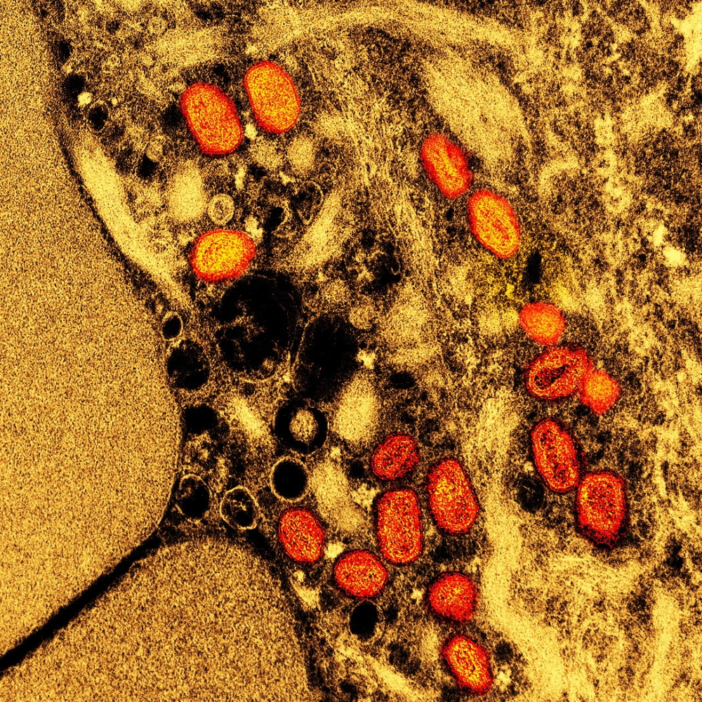
PUTRAJAYA, Aug 18 — The Health Ministry (MoH) will increase surveillance at Malaysia’s international entry points and advocacy on mpox following the mpox was declared a Public Health Emergency of International Concern (PHEIC) by the World Health Organisation for the second time on August 14.

The ministry also announced that all travellers with reported mpox cases need to monitor their own health status daily, including symptoms of mpox infection for 21 days from their arrival date in Malaysia, while those with a history of risky activities and symptoms like rashes need to undergo a check at nearby health facilities immediately and avoid contact with other people to avoid spreading the disease.

All medical practitioners in government and private health facilities need to notify suspected and confirmed cases of mpox immediately with the nearest district health office to ensure prevention and control measures are implemented, the ministry said, and can refer to the Guidelines on mpox management in Malaysia 2023 on the ministry’s official website at www.moh.gov.my.

The ministry will also ensure premises that provide services involving skin contact with customers such as spas, massage parlours and other risky activities need to practise personal hygiene and have clean surroundings, and that no customers have symptoms of mpox.

“If customers or workers have such symptoms, they need to get a health check immediately,” the ministry said in a statement today.

The ministry will continue working with government and non-government agencies, including private hospitals and clinics in monitoring, detecting and tending to mpox clinical cases jointly.

Mpox was declared as PHEIC for the first time on July 23, 2022 and the status was rescinded on May 11, 2023. — Bernama