News
Our Facebook page link
Our Twitter page link
Our Instagram page link
Our Tiktok page link
Our Youtube page link
About Us
Advertise
Home
MALAYSIA
SINGAPORE
MONEY
WORLD
LIFE
EAT/DRINK
SHOWBIZ
OPINION
SPORTS
TECH/GADGETS
What You Think
精彩大马
ARCHIVES
ABOUT US
PRIVACY POLICY
TERMS OF USE
ADVERTISE
精彩大马
Enter a word
Most Read
Sports
/ 6 h ago
Alex Yoong’s son Alister turns pro after decade in the fast lane
Malaysia
/ 18 h ago
From Port Klang to KLIA: Industry leaders honour Ling Liong Sik’s lasting infrastructure impact
Malaysia
/ 4 h ago
MACC nabs temple ex-chairman over RM50,000 claim for repairs that allegedly never happened
Malaysia
/ 18 h ago
GE16 not coming soon, Anwar says now is ‘work time’, urges focus on Malaysian economy
World
/ 4 h ago
Trump issues 48-hour ultimatum to Iran as fighting spreads across Middle East
Malaysia
/ 18 h ago
PM Anwar explains why Selangor MB Amirudin Shari is leading Malaysia’s Gaza aid mission
Malaysia
/ 42 m ago
Man arrested after security guard beaten to death in Klang housing estate, car lock seized
Malaysia
/ 19 h ago
Price control first, stimulus later: Anwar outlines phased economic response amid West Asia conflict
Malaysia
/ 3 h ago
Two killed, three injured in DUKE chain crash after broken-down lorry triggers pile-up
Life
/ 16 h ago
Still awesome 54 years on: Nasa shares stunning Earth photos as Artemis 2 circles Moon
Malaysia
/ 18 h ago
Transport minister orders audit of trailer firm, pledges accountability after JB-Segamat road fatalities
World
/ 4 h ago
Frenchman executed in China for drug trafficking, Paris condemns death penalty
Malaysia
/ 3 h ago
Azam: Arrival of US$30m 1MDB-linked art haul in Malaysia kept secret for security reasons
Malaysia
/ 2 h ago
Motorcyclist dies in Kota Bharu pile-up after speeding car veers off road, hits four parked vehicles
Malaysia
/ 17 h ago
Zara Qairina inquest: Lawyers for her mother seeks to call own psychiatric expert after forensic report points to suicide
2013
2014
2015
2016
2017
2018
2019
2020
2021
2022
2023
2024
2025
2026
January
February
March
April
May
June
July
August
September
October
November
December
Submit
Life
/
02 Jan 2020
Ugandan walkers plant trees to keep the climate fit
Life
/
02 Jan 2020
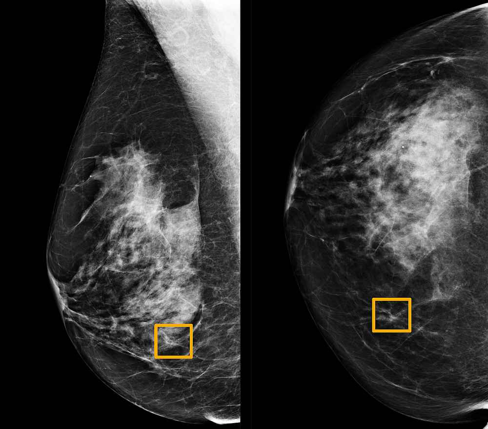
Study finds Google system could improve breast cancer detection
Life
/
02 Jan 2020
Illinois becomes latest US state to legalise recreational pot
Life
/
01 Jan 2020
Instagram’s favourite fitness experts reveal their new workout programmes for January
Life
/
01 Jan 2020
Thailand kicks off 2020 with plastic bag ban
Life
/
01 Jan 2020
PC dummy: India police deploy mannequins to deter traffic offenders
Life
/
01 Jan 2020
Pope slap a hit on social media (VIDEO)
Life
/
01 Jan 2020
The beat goes on: Fireworks, smoke and tear gas start new decade
Life
/
01 Jan 2020
Dozens of monkeys die in German zoo fire
Life
/
01 Jan 2020
Burning issue: China’s incense makers toil ahead of Lunar New Year
Life
/
01 Jan 2020
China took their parents: The Uighur refugee children of Turkey
Life
/
01 Jan 2020
Scapegoats to supply chains: Five aims for the anti-slavery fight in 2020
Life
/
01 Jan 2020
Malaysia Airlines brings in its first sale of the decade
Life
/
01 Jan 2020
Children who drink whole milk instead of reduced fat may have a lower risk of being overweight or obese
Life
/
01 Jan 2020
Nike unveils its latest yoga collection with new Infinalon fabric
Life
/
01 Jan 2020
Notable deaths in 2019
«
1
2
...
31
32
33
34
35
36
37